这是左主干病变,得立即转运过来!
4月30日中午,石化医院副院长、心血管内科主任汪念东接到协作单位的求援信息,70岁的患者胡女士突发严重胸痛,情况紧急。看过心电图,他果断交代接诊医生,“让患者嚼服负荷量的阿司匹林肠溶片再转运,途中会有猝死的风险,请务必与家属做好沟通!”

时间就是生命,时间就是心肌。
石化医院畅通绿色急救通道,40分钟后,救护车直接将胡女士送到了导管室,心血管内科急诊介入救治小组早已就位。
离死亡最近的血管堵塞

术前准备一气呵成

右侧肱动脉重度狭窄
快速完成右侧桡动脉穿刺,上造影导管受阻后,行肱动脉造影,发现右侧肱动脉重度狭窄。

左主干完全闭塞
小心操作导丝及导管,艰难到达主动脉根部,但导管难以“到位”左冠口,“冒烟”见左主干居然完全闭塞了。

右冠近段严重狭窄,未见右向左的侧枝循环
再行右冠造影,右冠近段也严重狭窄,未见右冠向左冠的侧枝循环。

在场的医护人员都大吃一惊,原来他们遇到了离死亡最近的血管堵塞——左主干急性闭塞。由于左冠状动脉主干的血管支配了整个左心系统,一旦血流被急性阻断,整个心脏就会失去2/3的血液供应。因此,左主干急性闭塞起病急,进展快,死亡率极高,是一种非常高危的胸痛疾病。
此时,胡女士再次严重胸闷、胸痛,血压、心率持续下降,转瞬间意识丧失,整个人抽搐了起来。心血管内科团队紧急行胸外心脏按压,经过2分钟惊心动魄的抢救,患者的心率、血压终于恢复。
情况依然危急,只有恢复左冠血流,才有可能挽救胡女士的生命!

IABP(主动脉内球囊反搏)
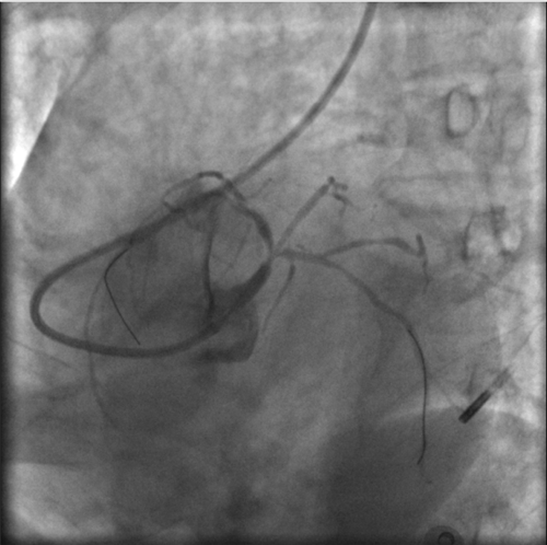
突发的状况并没有打乱团队的阵脚,待生命体征稳定后,决定先植入IABP(主动脉内球囊反搏)提供循环支持,防止病情进一步恶化。穿刺双侧股动脉,分别置入IABP导管及左冠指引导管。
因患者股动脉扭曲,导管操控困难,术者反复尝试,以导丝飘进左主干,在球囊的支撑下,通过闭塞段到达中间支,小压力扩张后造影可见主干末端严重狭窄。随后小心操控导丝到达回旋支、前降支,送入球囊扩张,严重狭窄的左主干末端被撑开,左冠血流终于恢复,胡女士暂时转危为安。

球囊扩张后,左冠血流恢复,但左主干末端重度狭窄
左主干末端呈三分叉,前降支、回旋支均存在弥漫性病变,且血管非常细小,这是一个相当复杂的左主干分叉病变。冒然植入支架,可能导致支架边缘夹层、分支闭塞、慢血流等并发症,稍有不慎,都会给患者带来灾难性的后果。心血管内科团队慎重决定,暂不植入支架,在IABP支持下,待血流冲刷冠状动脉,血管痉挛解除、血管扩张后,再在IVUS(血管内超声)指导下植入支架。
再次闯关打通生命“心路”
第一次手术后,胡女士仍有轻微的胸闷、胸痛症状,但所幸生命体征平稳,血压基本保持在120/70MMHG。“五一”假期期间,患者的床位医生、心血管内科副主任徐先进坚持每天查房,跟进病情进展,同时多次与上级专家——南京鼓楼医院心内科宋杰教授、南京市第一医院心内科叶飞教授交流沟通,讨论再次手术的时机。为预防心梗后早期重构,给予沙库巴曲缬沙坦、伊伐布雷定等药物进行抗心衰治疗,同时配合双联抗血小板、他汀调脂、低分子肝素抗凝,并密切监测生命体征变化。
患者在IABP支持下病情相对稳定,血常规监测提示患者血小板呈进行性下降,上级医院专家建议尽快再次手术。心血管内科团队医护主动放弃休假,于5月2日再闯关。

因右侧肱动脉狭窄、股动脉一侧已植入IABP,徐主任这次选择了经左侧桡动脉入路手术。患者主动脉弓扭曲,导管操控十分困难,但依然没有难住有经验的石医心血管人,他们小心翼翼操控导管、导丝到位。

左冠血流保持通畅
确认左冠血流保持通畅,大家悬着的心才稍稍放下。

根据IVUS检查结果,在前降支近中段至左主干植入3枚支架,充分扩张后,狭窄完全解除,血流恢复通畅。

植入3枚支架,血流恢复通畅
胡女士全程生命体征平稳,无慢血流、恶性心律失常等情况发生,她又一次闯关成功!

流过的汗都是值得的
拧成一股绳 合成一条心
虽然开通了闭塞的血管,但治疗还远没有结束。不到胡女士康复出院的那一刻,不言胜利。
左主干闭塞患者,术后一般难逃心衰并发症。血常规监测显示,患者血小板持续下降,继续使用IABP出血风险增加;但停用也可能因泵衰导致血压下降、心源性休克。所以,撤除IABP的时机至关重要。
5月3日凌晨2点10分,IABP突然报警。熟睡中的徐主任接值班医生电话,第一时间赶到医院。考虑中心腔堵塞,结合血小板下降情况,徐主任果断拔除IABP导管。如意料中的一样,胡女士随后出现了血压下降、心衰、泵衰的表现,5月4日,徐主任又植入中心静脉导管,并泵入去甲肾上腺素,联合重组人脑利钠肽及左西孟旦等药物,进行抗心衰治疗。

在自己和家属的积极配合下,在团队精细的术后管理下,胡女士的血压逐步回升,心率日趋稳定,呼吸恢复顺畅,安静状态下几乎没有不适,病情在一天天好转。
停用去甲肾上腺素泵注,停用静脉输液,只需口服药物,开始床边康复,6分钟步行试验,40米,50米,60米……
“真棒!今天又多走了10米!”

5月17日,发病19天后,胡女士终于康复出院!在她的脸上我们看到了久违的笑容。
千淘万漉虽辛苦,吹尽狂沙始到金。在石医心血管人的眼里,战胜病魔、挽救患者的生命,就是他们不懈的追求!
很多左主干急性闭塞患者首诊于基层医院,来不及转送至有急诊介入能力的上级医院抢救,就已死亡。相较而言,胡女士是幸运的。石化医院心血管内科团队技术力量雄厚,介入救治经验丰富,接诊过大量复杂、高危的冠心病患者。去年,科室更是以优异的成绩通过中国基层版心衰中心认证,今年也正在筹划胸痛中心的建设。

守护安庆老百姓的心脏健康,石医心血管人,初心不变,步履不停。